Хирургическое удлинение коронок зубов (гингивэктомия)

Лечение заболеваний пародонта

Хирургическое удлинение коронок зубов (гингивэктомия)

Формирование нового контура десны

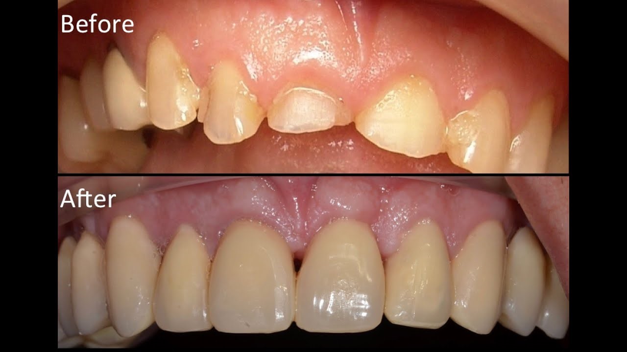
Одним из способов создания оптимальной эстетики улыбки с гармоничным сочетанием пропорций зубов и десны является удлинение клинической коронки зуба. Хирургический метод применяется для изменения контура десны в области нескольких зубов.

Цель операции - полное обнажение клинических коронок зубов и контурирование десны. По-другому операция иссечения десны называется “гинигвэктомия”.

Показания

  • скол (разрушение) зуба ниже уровня десны, при сохранении показаний к дальнейшее реставрации зуба пломбой или коронкой.

Применение шаблона и воскового моделирования зубов помогает хирургу определить объем иссекаемых тканей и гармоничную форму костного гребня. 

Гингивэктомия может проводиться лазером. При проведении вмешательства лазером наступает быстрый гемостаз, болевые ощущения снижены; обеспечивается более быстрое заживление и необходимый результат можно увидеть практически сразу. 

Галерея в контенте (#GALLERY#):  Загрузить / Загрузить / Загрузить / Загрузить

Название:  Хирургическое удлинение коронок зубов (гингивэктомия)

Картинка для анонса:  Загрузить