Закрытый кюретаж

Лечение заболеваний пародонта

Закрытый кюретаж

это манипуляция, направленная на уменьшение глубины пародонтального кармана или его устранение

Цель проведения кюретажа - удаление поддесневого зубного камня, грануляций, вегетирующего эпителия десневой борозды, воспаленной соединительной ткани стенки кармана.

Показания

  • хронический локализованный пародонтит легкой стадии

У таких пациентов наблюдается:

  • неудовлетворительная гигиена рта
  • гиперемированная, отечная, кровоточащая десна
  • обнажение корней зубов
  • патологическая подвижность зубов 1-2 степени
  • глубина пародонтальных карманов до 4 мм
  • различная степень резорбции костной ткани, выявляемая рентгенологически

Противопоказания

  • ОРЗ
  • бактериальные, вирусные, грибковые поражения слизистой рта
  • тонкий биотип десны
  • подвижность зубов 3 степени
  • пародонтальный абсцесс
  • гноетечение из пародонтальных карманов

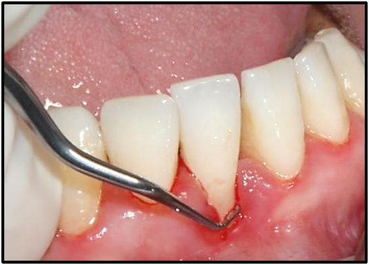
Техника проведения закрытого кюретажа

После медикаментозной обработки под инфильтрационной или проводниковой анестезией стоматолог удаляет поддесневые зубные отложения и патологически измененный цемент корня зуба ультразвуковым скейлером и кюретами. В ходе обработки промывают операционное поле антисептическим раствором. Далее приступают к удалению грануляционной тка­ни со дна пародонтального кармана и его деэпителизации. Для этого может быть использован диодный лазер. Операционное поле обрабатывают изотоническим раствором хлори­да натрия, десну плотно прижимают к зубу и накладывают защитную повязку.

Послеоперационный уход в течение недели:

  • пародонтальную повязку сохранять от 2 до 5 дней 
  • ограничить чистку  щеткой зубов на этом участке, использовать щетку с мягкой щетиной, с маркировкой “soft”
  • после удаления повязки вернуться к традиционному уходу за зубами
  • медикаментозное лечение: ротовые ванночки с антисептическим раствором 2 раза в день по 3-5 минут
  • после удаления повязки использовать местно кератопластические препараты

Галерея в контенте (#GALLERY#):  Загрузить / Загрузить

Название:  Закрытый кюретаж

Картинка для анонса:  Загрузить