Оформите заявку на сайте,
А мы перезвоним и ответим на все интересующие вопросы.
Операция, проводимая с целью углубления преддверия рта (область, которая находится между губой и зубами, переходная арка слизистой с губы на челюсть), называется пластикой преддверия полости рта или вестибулопластикой.
Вестибулопластика – это манипуляция, направленная на увеличение ширины прикреплённой десны в целях устранения механической травмы пародонта мышечными тяжами от околоротовых мышц (губных, подбородочных, щечных, язычных и мимических), с целью профилактики развития проблем с пародонтом.
Диагноз «мелкое преддверие рта» можно установить, когда расстояние от десны на челюсти до щек и губ составляет менее 5 мм.
Причины малого преддверия полости рта:
Вестибулопластика — это одновременное устранение не только эстетических проблем, но и профилактика развития таких заболеваний, как:
Показаниями к операции являются:
Вестибулопластика НЕ проводится при плохой гигиене ротовой полости, множественном кариесе, патологии прикуса, среднего и тяжелого пародонтита, при рецессиях зубов, подвижности зубов III и IV степеней.
Существует множество методик проведения операции, но сегодня используются закрытые методики с минимальным доступом и травмой, во избежание долго периода заживления (реабилитации), отсутствия негативного влияния послеоперационного периода на жизнь человека, повышение эффективности процедуры, снижения риска осложнений при открытых методиках.
Одним из миниинвазивных методов является «туннельная вестибулопластика» — щадящий метод, обеспечивающий доступ к тканям через 3 небольших разреза. Данный метод снижает травматичность операции и уменьшает срок заживления, повышает эффективность операции при значительном снижении рисков операции. Применим абсолютно для обеих челюстей.

Результат после классической вестибулопластики (открытой)

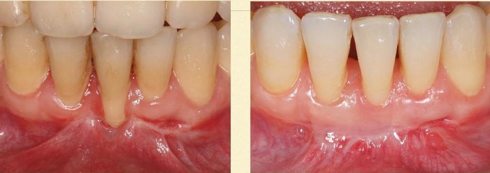
Пластика преддверия с пересадкой свободного десневого аутотрансплантата с неба для лечения рецессии десны у резца, и профилактики дальнейшего ухудшения состояния пародонта зубов
Правила поведения и ухода после вестибулопластики:
Возможные осложнения после пластики:
В целом операция по пластике преддверия (вестибулопластики) имеет высокую эффективность и долгосрочный стабильный результат.
| Название |
Стоимость |
| Пластика уздечки нижней губы | 14685 руб. |